After X-Rays & MRI

There has been no change in my hand/wrist/lump situation since my initial post; however, now we know it is not a ganglion cyst so the hand doctor was right about that. It is a fluid-filled sac which often occurs after a trauma to a tendon. The fluid is too thick for the lump to be drained so we are “exploring other options”. The lump itself does not hurt but my wrist is inflamed and hurts very much.
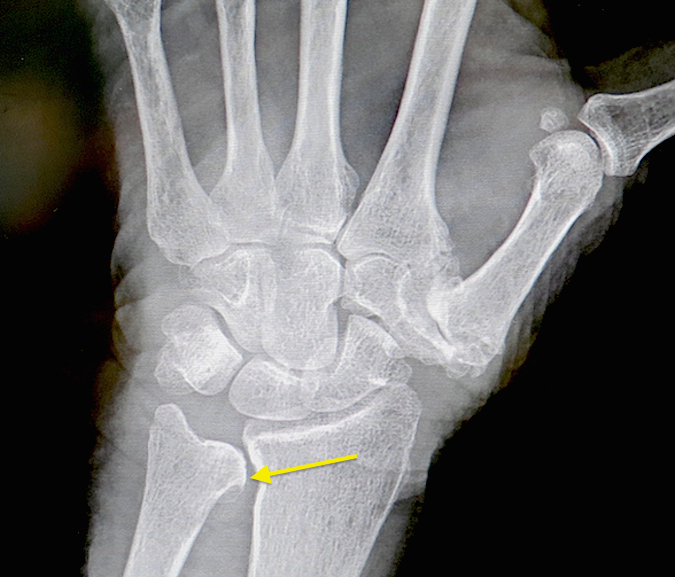
Last week I went for an MRI. X-Rays, ultrasound and MRI results indicate I have Vaughan-Jackson Syndrome (extensor tenosynovitis) which is characterized by the disruption of the digital extensor tendons, beginning on the ulnar side with the extensor digiti minimi (pinky finger) and extensor digitorum communis tendon of the pinky finger; the tendon is primarily responsible for straightening the index, middle, ring and pinky fingers. In some cases, the tendon may rupture, requiring surgery; so far my tendon is in tact. Vaughan-Jackson is most commonly associated with rheumatoid arthritis. I was never told I have rheumatoid arthritis and since 2003, I have been treated for osteoarthritis.
Next Wednesday I will meet with a rheumatologist; the first thing she will do is blood tests to determine if I have RA. After that, we should have a clearer idea how to proceed. Until then, I am back on prednisone to help relieve the inflammation and pain. I am frustrated with this problem which has been going on since June; however, I am relieved to have an appointment with a rheumatologist. It is my greatest wish to get the blood panel done. If it turns out I have RA, at least the doctor will start treating me appropriately. Things could be worse; they could always be worse.
Since I like to have fun and I’m tired of referring to the lump as “The Lump”, I’ve decided to name it. I will be entertaining all suggestions for a good lump names. Please leave any ideas for a name in comments. I’ll announce a winner by Friday. There’s no reward for the best name so don’t even go there. Thanks!
Our friend Jim Adams stuck this ear worm in my head. Now I’m going to share it with you. This is “The Name Game” by Shirley Ellis.
All text and graphics are copyright for Nancy Richy and are not to be used without permission. NAR©2017-present.

Whether you call the lump a hunk or chunk, what truly matters for me is Nancy and her well-being. I can’t see you in pain. Wishing you a smooth and speedy recovery 🙏💐❤️
LikeLiked by 1 person
Lovely and gracious comments, dear KK. Thank you for your very good wishes. ☺️
LikeLiked by 1 person
You’re always welcome, Nancy 🙏💐
LikeLiked by 1 person
Oh my, more than ouch! So sorry about that, hope things get sorted out, and soon, Nancy.
LikeLiked by 1 person
Thanks, Chris. It really is a PITA but, relatively speaking, it could always be worse. Hopefully, when I see the rheumatologist next week we’ll have more answers. Thanks. I appreciate your good thoughts.
LikeLiked by 1 person
That’s an awful lot of techno medical garb. I hate long words.
I called my first lump Humphrey and second Dick.
Suggestions for yours: Egor, Handl or Ray, for no other reason than because……….
Hope it all gets sorted soonest!
LikeLiked by 1 person
Great suggestions, Di. I like the names you chose for your lumps. Eventually it will all get sorted out. Thanks for your good wishes.
LikeLiked by 1 person
Always.
LikeLiked by 1 person
Quite an ordeal, but you are handling it well! As for the name game, I’m stumped.
LikeLiked by 1 person
No use crying about it, right? Hopefully the drs will get me fixed up sooner than later. As for the name game, me no capiche! Thanks, dear Keith.
LikeLike
That looks painful, and I’m sure it must be. Best of wishes on getting that fixed and back on track. Wonder why Doctors can’t name a condition with a simple word? Like, Wrist ouchi, things like that. Big words scare me. Momo has some similar problems with RA, but she’s a nurse and knows everything.
LikeLiked by 1 person
Thanks, Phil. I’m with you on the big medical terms. They make everything sound so much worse than it is. Wrist ouchie works for me; let’s call it that and fix it. Thanks for your good wishes.
LikeLike
Ugh, so sorry you are still in pain, I hope you get some solid answers soon, Nancy, 🤗
LikeLiked by 1 person
Another week to wait, Tiffany. At least the hand doctor didn’t freak out when he saw my MRI so it isn’t anything life-threatening. It’s just a royal pain in the ass! 😂 Thanks so much for your good wishes.
LikeLiked by 1 person
Well, that sounds awful, but as you said, things could always be worse. At least you have a sense of humour about it, Nancy, and I hope things will progress positively. 🌹 As for the lump. how about Larry? 😆
LikeLiked by 1 person
We gotta laugh, Debbie. What else are we going to do when shit happens? I don’t plan on throwing in the towel any time soon! Thanks for your good wishes; I love the name Larry the Lump. This is going to be a tough decision! 😂
LikeLiked by 1 person
*HUG*
I’m thinking of you, Nancy ❤
LikeLiked by 1 person
So nice to know, David. Thanks very much for your good wishes. ♡
LikeLiked by 1 person
Here is my very unimaginative name suggestion: Lumpy (which is short for Lumpelstiltskin. Good luck with the rheumatologist.
LikeLiked by 1 person
Lumpelstiltskin. Good one, Fan.
LikeLiked by 1 person
Ouch! I’ve never heard of this. I’m sorry you are dealing with this and hope you get some answers from the doc.
LikeLiked by 1 person
Neither had I, Keith, but the lump is very real and I’d truly like it gone. I hope the rheumatologist can help. Thanks for your good wishes, my friend.
LikeLiked by 1 person
Keep us posted.
LikeLiked by 1 person
Will do. Thanks again.
LikeLiked by 1 person
Wish you weren’t dealing with Nancy. Sounds like you’re taking the necessary steps to find answers and hopefully relief. 🌼 I’ll return if I have a “lumpy” inspiration before Friday. 🤔
LikeLiked by 1 person
Just caught my typo. 😂 “… dealing with… ” ✏️ My apologies.
LikeLiked by 1 person
Appreciate your good wishes, Michele. I’ll be very happy to get some relief. Thank you! ☺️
LikeLiked by 1 person
You’re very welcome. 💐
LikeLiked by 1 person
I’m so sorry for your ordeal, Nancy, and hope the rheumatologist will be able to help you. Sending positive vibes!
LikeLiked by 1 person
Thanks very much for your best wishes, Christian. Appreciate the good vibes.
LikeLiked by 1 person
How about calling it the triple G for Giant Gargantuan Ganglion?
LikeLiked by 1 person
It’s got possibilities.
LikeLiked by 1 person
I hope you get help soon. It has already been a journey! 🫶
LikeLiked by 1 person
It’s been rough; it’s my dominant hand so everything a bit of a challenge. Thanks for your good wishes, Lisa; I appreciate them.
LikeLiked by 1 person
Identifying the problem is the first step in righting it!
I have two suggestions for naming your lump: cyster, or Grumo (I believe Italian for lump)
LikeLiked by 1 person
Hahaha! Grumo is correct but, girlfriend …. Cyster made me pee my pants! 🤣
LikeLike
That was my favorite too, Sis!
LikeLiked by 1 person
Thing. As in “Thank you, Thing.”
LikeLiked by 1 person
As in The Addams Family “Thing”? Very clever, Liz!
LikeLiked by 2 people
Knobbitha if it’s a girl, Wristopher if it’s a boy
LikeLiked by 2 people
Brilliance!
LikeLiked by 1 person
You one smart cookie! 🥸
LikeLike